TUSTIN DENTAL GROUP

General, Cosmetic & Implant

12791 Newport Ave, Suite # 100
Tustin, CA, 92780

Dr. Gina & Dr. Assaf

Experience and excellence in dentistry

Dentistry for all members of your Family

A leading full dental services Dental group

Gina With Patient

Your smile is our top priority

Model Banner Photo

We create beautiful smiles For life

A Father And Daughter Dental Practice
Providing excellent dental serivces for hundreds of thousands of satisfied patients for 50 years

Welcome to Tustin Dental Group

12791 Newport Ave, Suite 100
Tustin, CA 92780

(714) 832-8000

TUSTIN DENTAL GROUP is a father and Daughter full service dental practice. We offer General Dentistry, Cosmetic, Dental Implants, Invisalign, Oral surgery, Gum treatment, crown and bridges, dentures, IV sedation, Botox and all other general dental services.

Our dental office is state-of-the-art dental practice. We are equipped with the latest dental equipment and dental technology such as CAD-CAM, CT scan x-ray, Digital scanners for dental implants and crown fabrication, laser for gum treatment and other technology.

We have a group of general dentists and dental specialists who are committed to delivering the highest standards of dental care to our patients. Our patients centered approach ensures that everyone receives compassionate and customized dental treatment that fit best for them.

doctor-image-1

Dr. Jafar Assaf

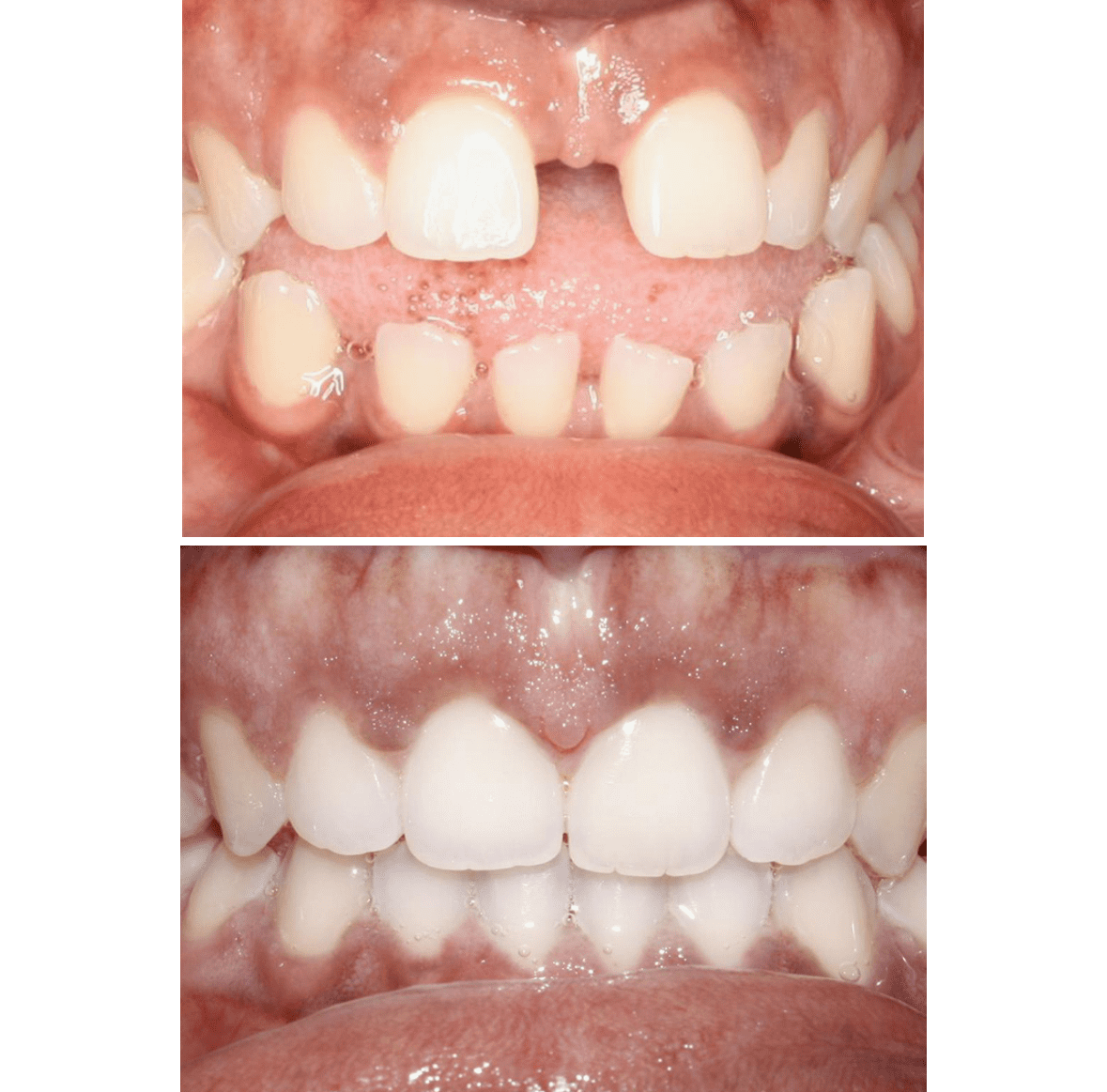
Full Mouth Reconstruction

Dr. Jafar Assaf has been in private practice since 1985. In his career, he has provided services for over 200,000 patients and continues to deliver the best quality of care in dentistry.

doctor-image-1 (1)

Dr. Gina Assaf

Cosmetic Implant

Dr. Gina Assaf followed her father’s footsteps and received her dental degree from USC School of Dentistry in 2011. After graduating, she obtained her dental licenses in two states, practicing dentistry in Missouri as well as in California.

doctor-image-1 (2)

Dr. Kashif Ahmed

General Cosmetic

Dr. Kashif Ahmed, affectionately known as Dr. Kash, the heart and soul of our dental family. Hailing from sunny Orange County, CA, his roots run deep in the golden state. He’s not just a local; he’s a passionate advocate for vibrant smiles across the region.

doctor-image-1 (3)

Dr. Eli Tabariai

Oral Surgeon

Board Certified Oral & Maxillofacial Surgeon. Dr. Tabariai completed his undergraduate degree at the University of California at Los Angeles before entering the School of Dentistry at the University of Pennsylvania.

Beautiful Words From Our Patients

“Dr. Assaf gave me a thorough examination. He is friendly, kind, gentle and extremely knowledgeable. The staff are amazing, always welcome you with a smile.”

Paulette A.

“Always a very good experience …. The front office greets you with a beautiful smiles.. The doctors are professional and experienced”

Linda E.

“My family had been going to Dr. Assaf office for 15 years. We have a complete confidence in Dr. Assaf and his staff”

Gizelle M.

“Amazing amazing ….. Everyone is so nice and welcoming. The service always great.. The doctors are very Professional. experienced and incredible”

Kaylean N.

Why You Should Choose Us For Your Dental Needs

What our patients say about us

As Seen On

fort wayne
The Daily DISPATCHER Logo
IN THE HEADLINE Logo
NY-Headline-1920w
the-podcast-park
FOX 43 Logo
News Net Logo

Get in Touch